Sin lugar a dudas, el cáncer es una de las enfermedades más graves que puede sufrir una persona. Aparece por el crecimiento y multiplicación de algunas células dañadas, las cuales son denominadas como cancerosas. Un cáncer puede atacar a cualquier individuo, pero aquellos que llevan un estilo de vida poco sano son más propensos a padecer un trastorno de este tipo.

Cabe mencionar que la genética también tiene relación en el desarrollo de un cáncer. Si esta enfermedad se detecta en el tiempo justo, el porcentaje de esperanza de vida es alto. El principal tratamiento que se utiliza para combatir un cáncer es la quimioterapia, aunque la radioterapia también es muy usada.
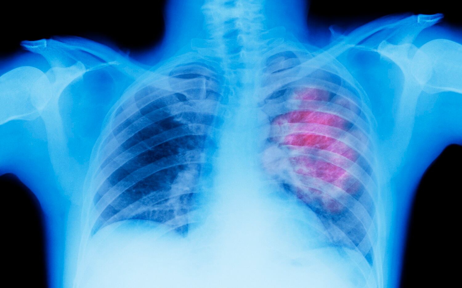
Existen diferentes tipos de cáncer, algunos de los tipos más comunes son, por ejemplo; el cáncer de piel, de seno, de próstata, de estómago, de vejiga, de esófago, de colon o intestino grueso, de hígado, de riñón, de hueso, de cerebro y de pulmón. Precisamente, sobre este último tipo se hará hincapié.

“El cáncer de pulmón es un cáncer que se forma en los tejidos del pulmón, generalmente en las células que recubren los conductos de aire. Es la principal causa de muerte por cáncer tanto en hombres como mujeres. Hay dos tipos principales, cáncer de pulmón de células pequeñas y cáncer de pulmón de células no pequeñas. Estos dos tipos crecen de manera diferente y se tratan de manera diferente”, explica MedlinePlus, Biblioteca Nacional de Medicina de los Estados Unidos.

Las personas que están expuestas a padecer una enfermedad como el cáncer de pulmón son aquellas que fuman, las que están expuestas a humos de segunda mano, las que tienen familiares que sufrieron este trastorno y las que se exponen a la radiación.
El cáncer de pulmón es uno de los que más genera síntomas. De hecho, uno de estos, de acuerdo con MedlinePlus, son los “problemas para tragar”. Tragar significa hacer pasar un alimento de la boca al estómago.

Es de vital importancia que si una persona experimenta problemas para tragar durante varias semanas, acuda con un profesional de la salud con urgencia, esto con el fin de ser sometida a una serie de análisis médicos, los cuales podrán confirmar o descartar el padecimiento de la enfermedad.

Por último, es de resaltar que otros de los síntomas que genera el cáncer de pulmón son los dolores o molestias en el pecho, la tos que no desparece, la dificultad para respirar, las sibilancias, la ronquera, la pérdida de apetito, la fatiga y la inflamación en el rostro.

Referencias científicas
Cáncer de pulmón, MedlinePlus.
