Una de las molestias que acompañan el cáncer de tiroides es el dolor de cuello. ¿Cómo se exterioriza esta enfermedad en esa zona y qué repercusiones trae?
Con base a la información de la Sociedad Americana contra el Cáncer, se sabe que el cáncer de tiroides se origina en la glándula tiroides cuando las células presentes allí empiezan a crecer sin control. Las hormonas producidas por esa glándula ayudan a regular el metabolismo, frecuencia cardiaca, presión arterial y temperatura corporal; lo cual genera que un desequilibrio altera su funcionamiento.
La glándula se encuentra en la parte frontal del cuello, concretamente debajo del cartílago tiroideo. En la mayoría de las personas no se puede palpar este órgano, por lo que no es posible tener un dictamen de los lóbulos que la recubren.
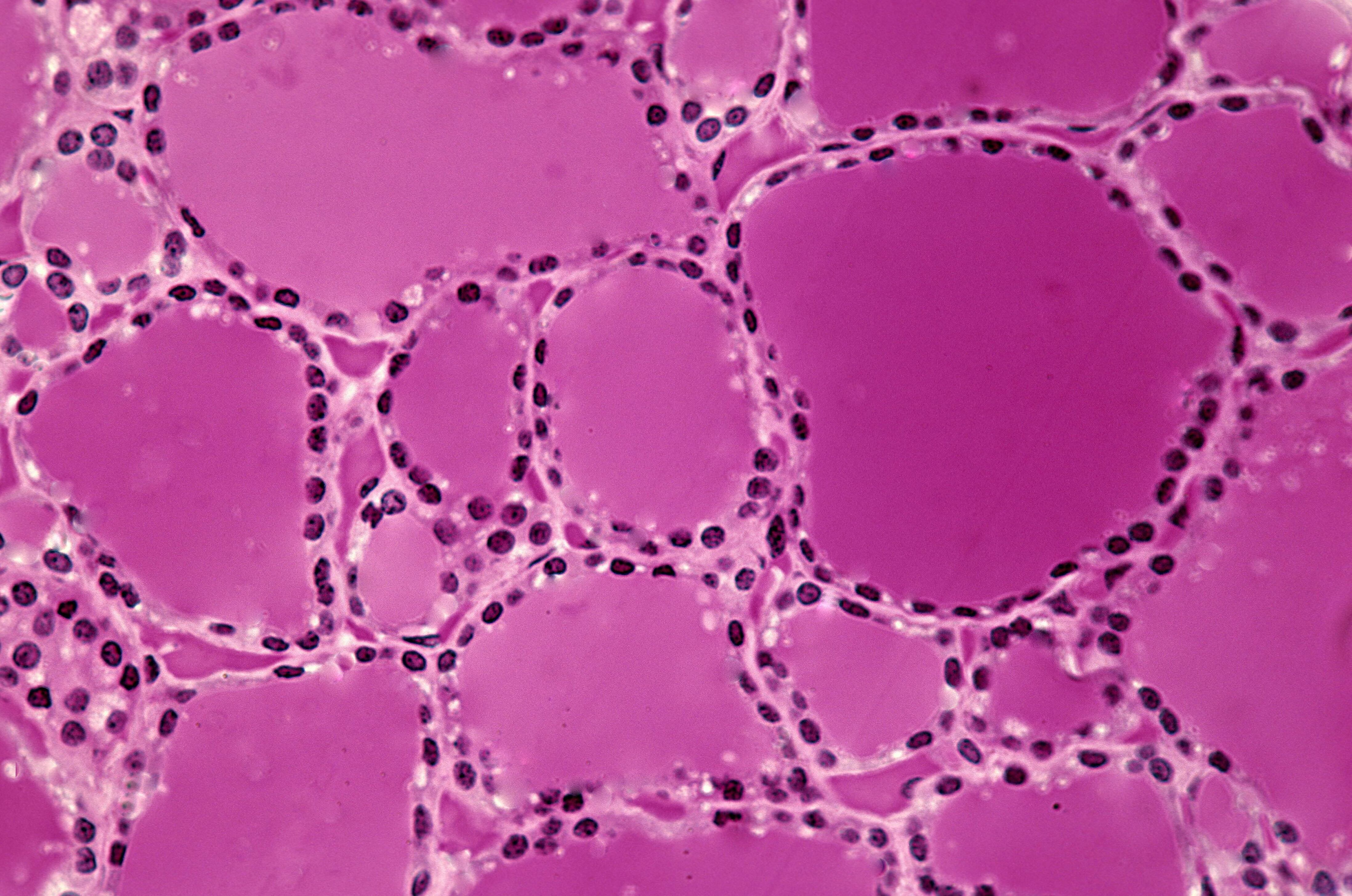
Tal y como se mencionó anteriormente, la tiroides tiene dos células que cuando crecen sin control, terminan siendo perjudiciales para el organismo. Las primeras son las foliculares, las cuales emplean el yodo de la sangre para producir la hormona tiroidea que regula el metabolismo corporal.
Alta presencia de esta glándula causa hipotiroidismo, una condición médica en la que hay presencia de palpitaciones aceleradas, dificultad para dormir, intranquilidad, hambre, pérdida de peso y una sensación de calor. En cambio, cuando la producción celular es baja, la persona tendrá un aumento de peso y cansancio extremo.

Las otras células presentes en la glándula son las parafoliculares, las cuales cumplen la función de producir calcitonina, una hormona capaz de controlar el modo por el cual el cuerpo emplea el calcio proveniente de los alimentos.
Si bien en condiciones normales no se puede palpar la tiroides, cuando se inflama es posible tocarla externamente. Cuando tiene un tamaño irregular, los expertos indican que este fenómeno se llama bocio. Cabe mencionar que no siempre un aumento del tamaño de esta glándula corresponde a un cáncer, sino que responde a otras condiciones médicas.

Cuando hay presencia de un desarrollo cancerígeno, los síntomas que acompañan esta condición son ronquera, glándulas inflamadas, dificultades para respirar y tragar con normalidad, dolor en la garganta y cuello, tos persistente no causada por resfriado.

Sin embargo, el síntoma más notable y que responde a esta condición radica en la presencia de bultos o hinchazón en el cuello. La tos, molestias para tragar o dolor de garganta pueden ser similares a una gripe; pero cuando todo va acompañado a un aumento significativo en el diámetro del cuello, lo más probable es que sea cáncer.
Adicionalmente, si este aumento irregular viene de la mano con dolores en esa zona al tacto, la probabilidad del desarrollo cancerígeno es notable. Teniendo como referencia la información de American Association of Retired Persons (AARP), un bulto, nódulo o hinchazón cerca a la base del cuello es un signo de alarma.


Diversos estudios señalan que hasta la mitad de personas mayores de 60 años alrededor del mundo tienen algún tipo de nódulo tiroideo, los cuales no necesariamente responden a un desarrollo cancerígeno. No obstante, es recomendable practicarse un chequeo y tener así un diagnóstico prematuro.
Para dar con el motivo del bulto, los expertos de salud deberán realizar una biopsia en la zona del cuello, la cual permitirá detectar la presencia de células cancerosas. Este procedimiento consta en extraer una pequeña porción de tejido tiroideo, siendo suficiente para dar con el dictamen.
El cáncer de tiroides se puede tratar de diferentes formas, tales como el uso de yodo radioactivo, radioterapia o quimioterapia. El procedimiento radica en el grado por el cual se hayan desarrollado las células cancerígenas.










