Como varios expertos han advertido, el coronavirus ataca a cualquier persona, pero sus síntomas no se manifiestan en todos. De hecho, hay cuatro tipos de pacientes, según el médico respiratorio John Wilson, del Royal Australasian College of Physicians.
El especialista explicó en una entrevista con The Guardian los cuatro tipos de pacientes con covid-19 y la variedad de impactos de la enfermedad, que van desde ningún síntoma hasta la neumonía.
Los primeros son los “menos graves”, aquellos que, pese a tener coronavirus, no tienen síntomas. Luego están las personas con “fiebre y tos y quizás síntomas más leves, como dolor de cabeza o conjuntivitis”, quienes posiblemente contraen una infección en el tracto respiratorio superior.
La tercera categoría es la más amplia. Según Wilson, son personas con síntomas similares a la gripe, pero la fiebre es más alta, la tos, sostenida, y el dolor de cabeza mucho más severo.
El último grupo de pacientes, siempre dependiendo de su sistema inmunológico, pueden desarrollar neumonía. “En Wuhan resultó que, de aquellos que dieron positivo y buscaron ayuda médica, aproximadamente el 6% tenía una enfermedad grave”, explicó.
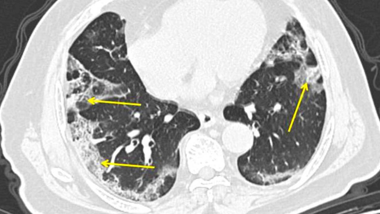
De igual forma, el médico explicó, de manera puntual, el impacto que sufren los pulmones en los pacientes de covid-19: "El revestimiento del árbol respiratorio se lesiona causando inflamación. Esto a su vez irrita los nervios en el revestimiento de las vías respiratorias. Solo una mota de polvo puede estimular la tos”.
“Si esto empeora, va más allá del revestimiento de las vías respiratorias y pasa a las unidades de intercambio de gases, que se encuentran al final de las vías aéreas. Si se infectan, responden vertiendo material inflamatorio en los alvéolos que se encuentran en el fondo de nuestros pulmones”, dijo a The Guardian.
De igual forma, el experto puntualizó que, “una vez que tenemos una infección en el pulmón y, si involucra los sacos de aire, la respuesta del cuerpo es primero tratar de destruir al virus y limitar su replicación”, causa habitual de muerte por neumonía grave entre pacientes con covid-19.
