Un tipo de rayos X que se ha usado en los exámenes dentales parece estar vinculado con la forma más común de tumor cerebral, que casi siempre es benigno pero puede ser muy debilitante, según un estudio publicado por la Sociedad Estadounidense del Cáncer.
El estudio encontró en un nivel general que las personas con esos tumores, conocidos como meningiomas, tenían dos veces más probabilidades que las personas sin tumor cerebral de haberse sometido alguna vez en su vida al examen de rayos X, en el cual el paciente sujeta una película en sus dientes.
Las exposiciones a rayos X consideradas en este estudio ocurrieron en la década de 1960, cuando las dosis usadas de radiación eran mucho más altas que las actuales.
Los investigadores compararon los historiales de rayos X de 1.433 adultos que han tenido un diagnóstico de tumor cerebral, y 1.350 adultos sin tumores.
La autora principal del estudio, Elizabeth Claus, quien es profesora en la Escuela de Salud Pública de Yale y neurocirujana en el Hospital Brigham y de Mujeres en Boston (Massachusetts), señaló que se sabe poco acerca de los factores de riesgo del meningioma, la forma de tumor cerebral diagnosticada con más frecuencia.
Parte del problema es que en Estados Unidos el meningioma se añadió a los registros de tumores cerebrales en el 2004.
Claus explicó que, en general, pasan de 20 a 30 años desde la exposición a un causante ambiental, como la radiación, hasta que se desarrolla en meningioma.
Por su parte, Keith Blac, director del Departamento de Neurocirugía en el Centro Médico Cedars Sinai, en Los Ángeles (California), dijo: "el uso excesivo de los rayos X dentales, particularmente el uso frecuente en los niños durante la ortodoncia, me preocupa".
"Aunque los rayos X son una herramienta importante para el diagnóstico médico y dental, los rayos X en el cuidado dental no apuntan sólo a la mandíbula sino también a la parte baja del cerebro", añadió.
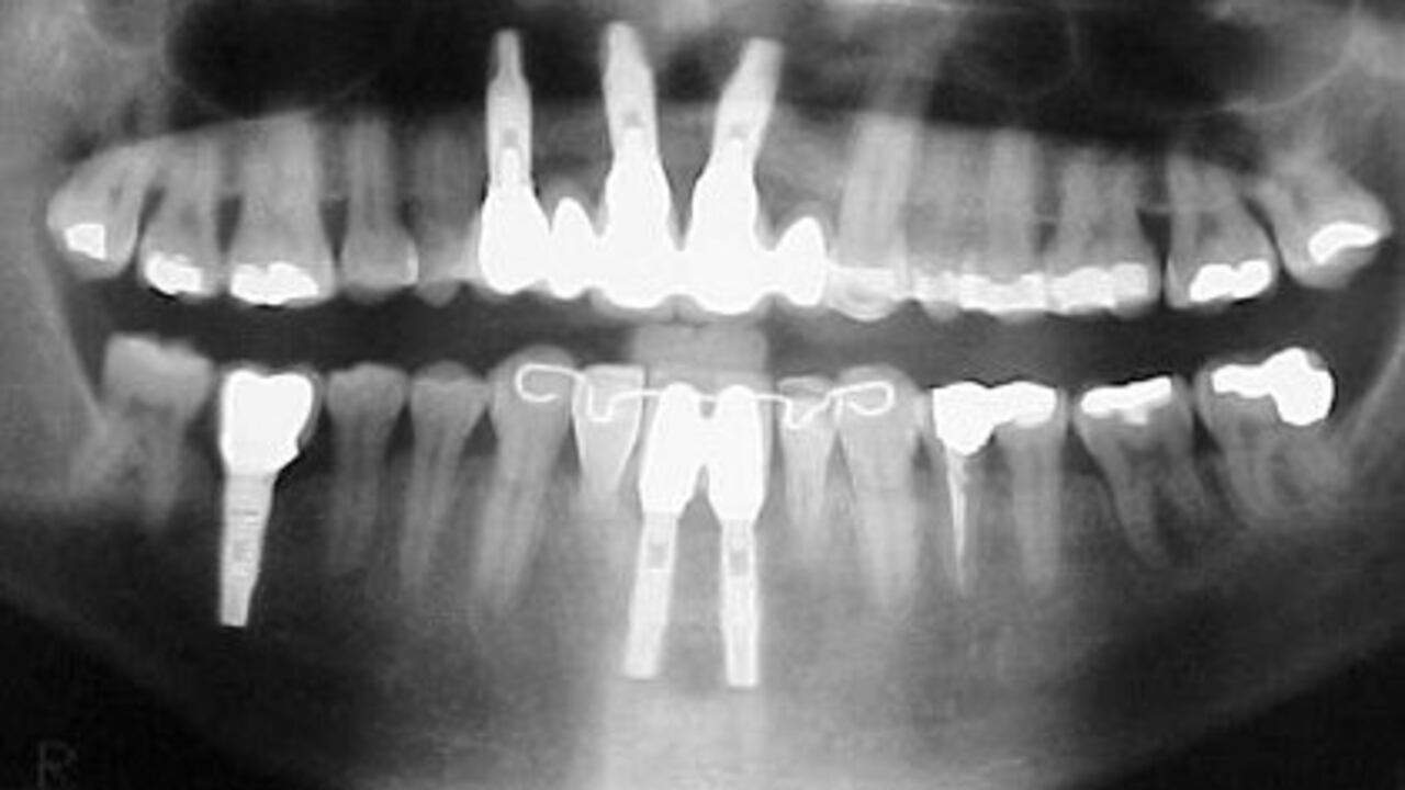
El estudio encontró asimismo una vinculación entre el riesgo de meningioma y los rayos X panorámicos, que se usan con menos frecuencia y se toman desde afuera de la boca y dan una visión de todos los dientes superiores e inferiores.
La Asociación Dental de EE.UU. recomienda que los dentistas sean cautelosos en el uso de rayos X.
En los pacientes que tienen dientes sanos y no tienen un riesgo mayor de caries, la asociación recomienda que los niños tengan radiografías una vez por año o cada dos años; los adolescentes cada año y medio a tres años, y los adultos cada dos o tres años.
La asociación también señaló algunos puntos débiles del estudio de Claus: los resultados provienen de los recuerdos que tengan los individuos sobre las radiografías que se les hicieron hace muchos años, y las tasas de radiación en el pasado eran más altas.
Claus señaló que ella no quiere que este estudio se convierta en un mensaje alarmista.
"Que no cunda el pánico", señaló, "y que la gente no deje de ir al dentista. Más bien, estudie las recomendaciones y hable con su dentista. Vale la pena tener esa conversación".
EFE
SALUD SEMANA
Un tipo de rayos X dental podría estar vinculado a tumores cerebrales
Un estudio publicado por la Sociedad Estadounidense del Cáncer advierte que las personas con meningiomas tienen dos veces más probabilidades que las personas sin tumor cerebral, de haberse sometido alguna vez en su vida a sujetar una película en sus dientes.
Siga las noticias de SEMANA en Google Discover y manténgase informado
9 de abril de 2012 a las 7:00 p. m.
