Gente
¿Malas noticias?: la quimioterapia puede reactivar el crecimiento de células tumorales “durmientes”; esto explica la ciencia
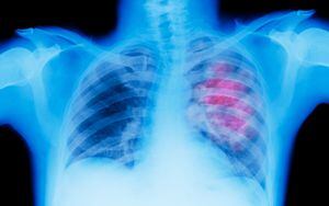
Grupo de científicos internacionales tiene nuevas pistas sobre por qué reaparece con frecuencia el cáncer de mama.
Sígale el pulso a la salud en Discover: información sobre bienestar, investigación y tendencias
12 de septiembre de 2023 a las 4:53 p. m.

Lea sin límites.Suscríbase desde
$199.000
*Aplican términos y condicionesRenovación anual automáticaCancela en cualquier momento