El reguetón provoca una mayor actividad cerebral en comparación con otros géneros musicales, según una investigación realizada por el neurocirujano del Hospital Universitario Nuestra Señora de la Candelaria Jesús Martín Fernández, en compañía de otros expertos. En el informe ‘Music Style Not Only Modulates the Auditory Cortex, but Also Motor Related Areas’ se indicó que este género incluso superaba a la música clásica.
Para llegar a los resultados, los investigadores seleccionaron 28 personas de una edad media entre 26 años con diferentes gustos musicales. Cabe señalar que para la escogencia de cada persona se hizo un análisis sobre la música que más consumían y descargaban.
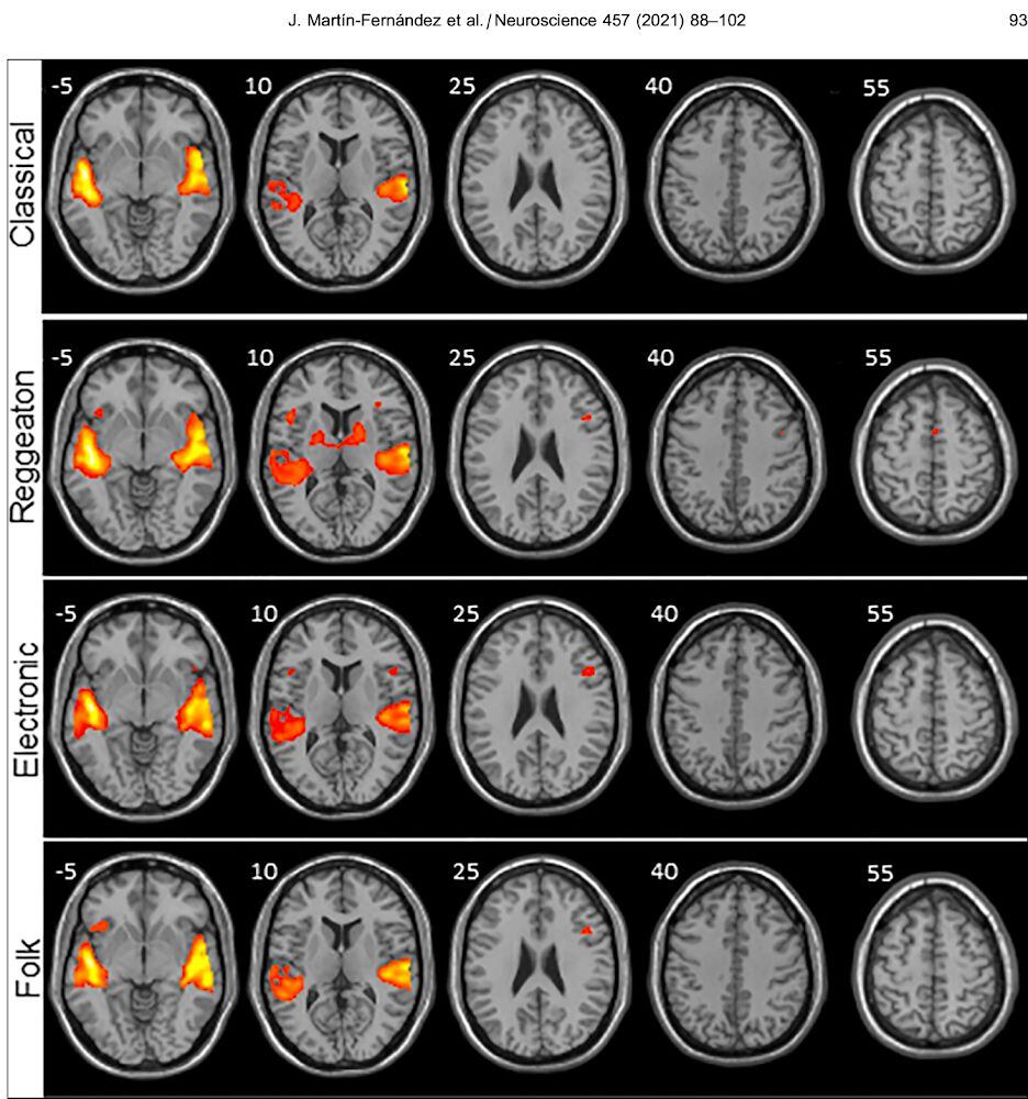
Los jóvenes fueron expuestos a varias pruebas, entre ellas de oído, para analizar la capacidad de discriminación de las melodías y otra por frases rítmicas, y una resonancia magnética funcional en la que se analizaban las áreas del cerebro que recogían mayor oxígeno, según los diferentes géneros musicales.

Así, científicos comprobaron que el reguetón fue el género musical que provocó mayor activación cerebral en las regiones encargadas de procesar los sonidos y los movimientos. Para el estudio usaron cuatro géneros musicales: reguetón, música clásica, electrónica y folclore.
Además, el análisis resaltó que la música electrónica también superó a la clásica en términos de activación cerebral de las áreas motoras.

Otro hallazgo importante está relacionado con la activación que se da en la zona de los ganglios basales, estructuras neuronales encargadas de modular la postura y comenzar o finalizar un movimiento, o estar involucrados en el desarrollo del placer. En esta zona también se encuentra el origen de algunas enfermedades degenerativas como el Parkinson.
Cabe señalar que la activación en la zona señala que hay más regiones cerebrales auditivas y motoras que se activan, lo que implica que existe una mayor maquinaria trabajando en procesar la música. Según reseñan los expertos, la activación de las zonas encargadas del movimiento se puede relacionar a que se genera un pulso interno dentro de cada persona que buscar adivinar el siguiente ritmo de la canción.
Para el experimento algunas de las canciones usadas fueron “Shaky Shay”, de Daddy Yankee y “Ginza”, de J Balvin, en género reguetón. En música clásica se usó el “Concierto en Mi Menor”, de Vivaldi y el “Minuit de los Aires en Re”, de Luis Cobiella, mientras que en Electrónica se usaron canciones como “Passion”, de Alberto Feria y “L’amour toujours”, de Dzeko.
En conversación con SEMANA, Martín-Fernández señaló que la selección de cada canción se realizó porque eran temas representativos de cada género “a pesar de que no fueron las más conocidas, son representativas y cando se escuchan se sabe a qué género pertenece”.

Sobre la misma línea, el experto dijo que se escogieron los géneros debido a que son los más escuchados de la música occidental y son los extremos, “los cuatro estilos que cubrían todo”, aseveró.
El experto contó además que la edad de las personas podía influir en el estudio, teniendo en cuenta que se evaluaron las capacidades musicales. No obstante, en ese sentido, la edad y los gustos musicales de cada persona no influyeron en las conclusiones debido a que las áreas que se analizaron son encargadas de procesar el sonido o el movimiento, por lo que para el experto, estas no dependen de las emociones o de los gustos de cada participante.
Cabe señalar que uno de los requisitos que debían cumplir los participantes del estudio era no ser músicos, esto porque las personas con formación musical ya han desarrollado conexiones cerebrales específicas para hacer eficiente el trabajo de tocar un instrumento. No obstante, Fernández aseguró a SEMANA que están próximos a salir los resultados en los que se comparan las personas con formación y sin formación, con el fin de saber si concuerdan con los resultados obtenidos en este estudio.
