El estornudo, según la biblioteca Nacional de Medicina de Estados Unidos, Medline Plus, es una explosión de aire súbita, forzada e involuntaria a través de la boca, causada por la irritación de las membranas mucosas de la nariz y la garganta. Asimismo, indicó que este puede ser muy molesto en ocasiones, pero rara vez es un “signo de un problema grave”.
No obstante, un informe publicado recientemente por la revista académica BMJ Case Studies indicó que un hombre se perforó la tráquea luego de intentar contener un estornudo, enfatizando que este es el primer caso de este tipo que se reporta a nivel mundial.

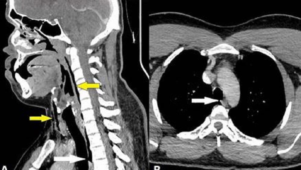
“Un hombre de unos 30 años, con antecedentes de rinitis alérgica, experimentó un fuerte dolor de cuello inmediatamente después de que sofocó los estornudos, pellizcando su nariz y cerrando la boca. Esto ocurrió mientras conducía un automóvil con el cinturón de seguridad puesto. Al acudir a urgencias negó disnea, disfonía o disfagia”, señaló inicialmente.
Luego, agregó: “La radiografía lateral de partes blandas del cuello reveló enfisema quirúrgico. Inmediatamente después, la TC de cuello y tórax, con contraste, reveló un desgarro traqueal entre la tercera y cuarta vértebra torácica, con neumomediastino y enfisema quirúrgico del cuello”.
El estudio recalcó que la presión en las cavidades torácicas es 20 veces mayor cuando la boca y la nariz están cerradas durante un estornudo normal. En el caso del hombre, la presión resultó ser tan grande, que le abrió un agujero de 2 milímetros en la tráquea.
Igualmente, el documento precisó que las perforaciones traqueales son una afección bastante rara, por lo cual solo se han informado unos casos espontáneos. Además, advirtió que estas son potencialmente mortales.

“La perforación traqueal espontánea es una afección rara y potencialmente mortal. Solo se han informado unos pocos casos. Estos pueden tratarse de forma conservadora, pero a menudo requieren intervención quirúrgica. Esto puede depender de si un paciente está hemodinámicamente estable o inestable”, sentenció
Pese a que el hombre sufrió heridas leves, los profesionales de la salud que lo atendieron enfatizaron que su caso debería ser una advertencia para la ciudadanía, y recomendaron nunca reprimir un estornudo de manera forzada.
“Se debe advertir a todo el mundo que no reprima los estornudos, principalmente pellizcando la nariz mientras mantiene la boca cerrada, ya que puede provocar una perforación traqueal”, concluyeron en el estudio de la BMJ Case Studies.

Cabe recordar que otros estudios han determinado que contener un estornudo podría ser sumamente perjudicial para el cuerpo, pues puede causar inflamaciones, hemorragias, roturas vasculares, mareos y hasta dolores de cabeza muy fuertes.
Los especialistas recomiendan que no se debe, bajo ninguna circunstancia, tapar la nariz para contener esta acción, puesto que esto lo que hace es aumentar la presión y por ende el riesgo de sufrir alguna de estas delicadas afectaciones. Igualmente, los médicos aconsejan utilizar un pañuelo para así evitar que algún virus o germen se expanda. Lo ideal es estornudar sin temor y aprender a controlar el ruido o los movimientos que se hacen cuando son inevitables.
