El pasado primero de abril se supo la historia de Rafael Antonio Pineda, suboficial segundo de la Armada Nacional. Un hombre de 37 años que durante 14 estuvo al servicio de la institución. El Domingo de Resurrección de 2024 le cambió su vida y la de su familia.
Lo que parecía una gripa terminó siendo una leucemia aguda que requirió atención inmediata y remisión de Cartagena al Hospital Militar de Bogotá. Dos semanas solo duró su tratamiento de quimioterapias, fue tan agresivo como la enfermedad que lo atacó.
“Era tan familiar”, recuerda Mayiris Blanco, viuda del uniformado. Ella y sus hijos de 8 y 1 año de edad sienten el vacío que dejó el cáncer en su hogar, desde el domingo 14 de abril a las 4 de la mañana, cuando el cuerpo del suboficial no soportó los despiadados síntomas.
“Era un hombre lleno de vida, amaba la alegría, la unión familiar, dedicado a sus hijos, a su esposa, a toda su familia en general. Un ser humano que tenía un corazón demasiado grande. Daba todo lo que tenía y lo que no tenía”, dice Mayiris, con voz entrecortada, que es consiente que tenía sus defectos como cualquier ser humano, pero eran más sus virtudes.

Durante la carrera militar recibió múltiples reconocimientos y condecoraciones. Perteneció a la Dirección Marítima y fue guarda costa durante una década. Las honras fúnebres se realizarán en Cartagena a las 4 de la tarde de este martes 16 de abril. El cuerpo del uniformado llegó a su ciudad natal el lunes en horas de la mañana.
El suboficial segundo se encontraba prestando su servicio en Bahía Málaga, costa pacífica de Colombia, y logró autorización para pasar los días de descanso en Cartagena, donde está toda su familia. Los saludos y abrazos se vieron interrumpidos por algunos síntomas respiratorios que presentó Pineda.

El Domingo de Ramos salieron para el médico, pensando que se trataba de una fuerte gripa, pero la sorpresa que se llevaron fue que tenía cáncer. Una leucemia aguda atacó su cuerpo. “Se le bajaron las plaquetas en 20.000, la hemoglobina en 6, tuvieron que transfundir de emergencia”, narra Mayiris.

Su estado de salud fue muy complejo, 48 horas después ya estaba en Bogotá realizándose quimioterapias. La esposa de Pineda pidió ayuda porque en el hospital le solicitaron con urgencia donantes de sangre por la complejidad del tratamiento, las transfusiones fueron continúas pretendiendo tener suficientes plaquetas y sangre.

Decenas de habitantes de Bogotá se solidarizaron con la historia y llegaron al hospital para donar. Pero, lamentablemente, todos los esfuerzos fueron insuficientes.
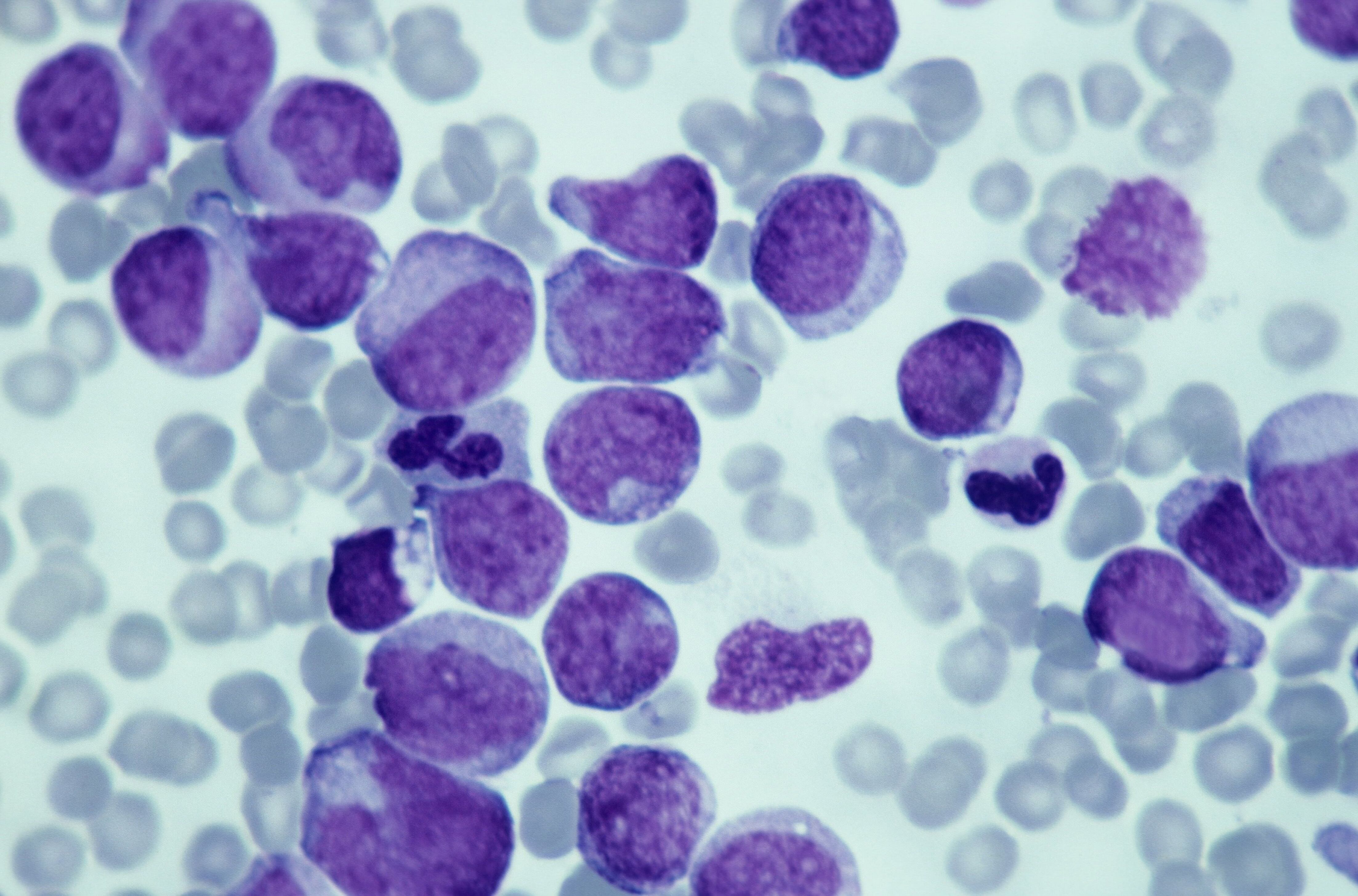
EL militar padecía de leucemia aguda, esta hace que la enfermedad se desarrolle rápidamente, lo que contrasta con la contrario en la que su desarrollo se da lentamente. Este tipo de cáncer arranca generalmente en la médula ósea, que es donde se forman las células de la sangre.
Esta enfermedad señala que hay una producción descontrolada de células anormales en la médula ósea. Aunque no hay tumor sólido, como en otros casos. Quienes la padecen pueden presentar: pérdida de peso, cansancio, fiebre, sudor nocturno, debilidad, palidez en la piel, moretones que se forman fácilmente o sangrado difícil de detener.

Por ser una patología de origen genético no hay tratamiento para prevenirla según lo han manifestado algunas asociaciones científicas, pero esta grave enfermedad si se puede detectar con una simple prueba de sangre.
