Hace 6 meses la Organización Mundial de la Salud emitió una lista de 19 tipos de hongos que se calificaron como un riesgo para la salud pública. Hay preocupación por las infecciones fúngicas, que consisten en la invasión de los tejidos por una o más especies de hongos, porque entre otras razones, no hay un nivel suficiente de contención con los medicamentos.
Y justo, confirmando la razón de la preocupación, se confirmó el primer reporte de caso de infección humana en la India. Allí se detectó la afectación en un hombre de 61 años, de la región oriental de la India. El paciente es un micólogo o científico de plantas de profesión, quien ha trabajado con material, hongos y varios hongos vegetales durante mucho tiempo.
“Presentó al departamento de pacientes externos (D0) con voz ronca, tos, faringitis recurrente, fatiga, dificultad para tragar y anorexia por los últimos 3 meses. No tenía antecedentes de diabetes, infección por VIH, insuficiencia renal o cualquier enfermedad crónica, ingesta de fármacos inmunosupresores o traumatismos”, explican en el reporte.

Ahora, en detalle, los investigadores del estudio, Soma Dutta y Ujjwayini Ray expresan que la hoja de plata es una enfermedad fúngica de los árboles causada por el hongo patógeno vegetal Chondrostereum purpureum.
“Los huéspedes con un sistema inmunitario comprometido son los más vulnerables a las infecciones fúngicas, pero también se informa con frecuencia que las personas sanas e inmunocompetentes tienen infecciones fúngicas. En esta situación, las infecciones pueden estar asociadas con la exposición a un gran inóculo. Las diferencias estructurales y sistémicas entre plantas y animales presentan varios desafíos para la invasión microbiana. A nivel celular, las células vegetales y animales son estructuralmente similares”, agregan.

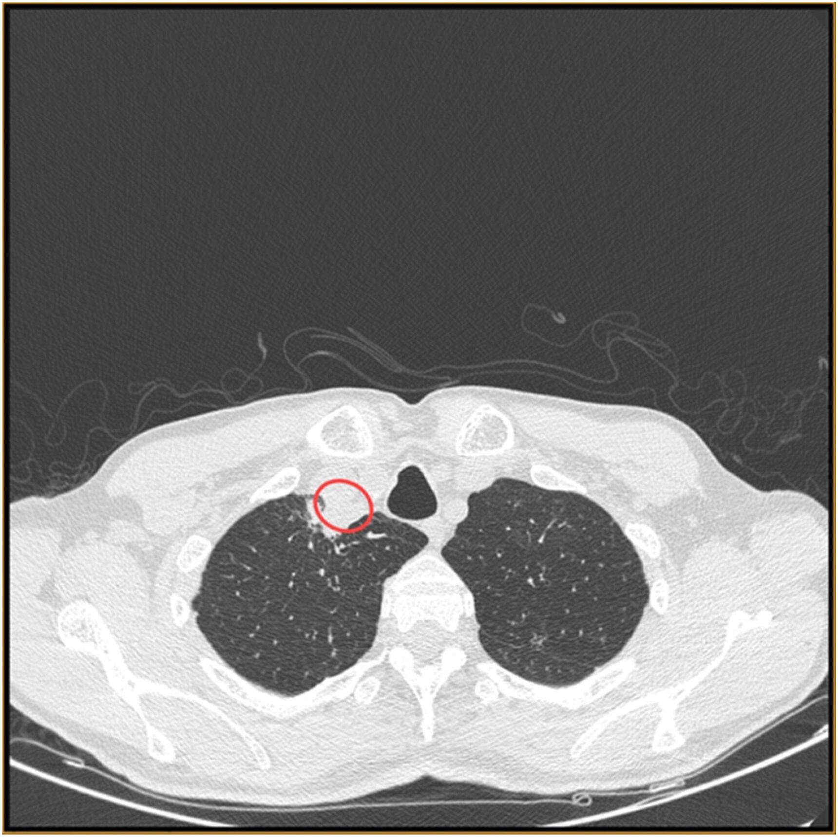
También el portal Science Direct compartió que en el estudio Absceso paratraqueal por hongo vegetal Chondrostereum purpureum, primer reporte de caso de infección humana, a través de una tomografía computarizada del cuello, se demostró la presencia de un paraabsceso traqueal.
De ahí se aspiró un pus, que fue enviado para las investigaciones pertinentes. Además de otros procesos, se evidenció el cultivo de pus en agar dextrosa Sabouraud (SDA) creció una colonia pastosa cremosa con pigmentación de color beige en el reverso lateral tras 4-5 días de incubación tanto a 25 ◦C como a 37 ◦C.

Luego, con los resultados del Centro colaborador de la OMS para Referencia e Investigación sobre Hongos, se identificó que se trataba de Chondrostereum pur- pureum por secuenciación de ADN. El examen histopatológico del material de aspiración reveló células inflamatorias mixtas, neutrófilos y algunas células endobronquiales en un fondo necrohemorrágico.
“El paciente negó haber trabajado con tal fitopatógeno, pero confirmó que estaba trabajando con material en descomposición y otros hongos vegetales durante mucho tiempo como parte de sus actividades de investigación”, aseguran.
Asimismo, contaron que la infección se trató con drenaje completo del pus seguido de tratamiento medicamentos. Y ya, después de dos años de seguimiento, el paciente está absolutamente bien y no hay evidencia de reaparición.

“Entre los millones de hongos presentes en el medio ambiente, solo unos pocos cientos de hongos pueden infectar a humanos y animales. Ese animal y las enfermedades humanas pueden ser causadas por patógenos vegetales es un nuevo concepto que plantea serias dudas con respecto a la propensión de tal infección ocurrir tanto en individuos sanos como inmunocomprometidos. Si el hongo puede escapar de la vía de la fagocitosis y es capaz de evadir el sistema inmunitario del huésped, entonces pueden establecerse como humanos patógenos”, detallan en el estudio.

Panorama mundial
La OMS emitió en octubre de 2022 una lista de los 19 hongos más peligrosos para la salud pública. La lista OMS de patógenos fúngicos prioritarios (FPPL) constituye esas primeras señales de advertencia, pues, se advierte que esos patógenos fúngicos constituyen una amenaza importante para la salud pública, porque son cada vez más comunes y resistentes al tratamiento.
«Surgidas en la sombra de la pandemia de resistencia bacteriana a los antimicrobianos, las infecciones fúngicas van en aumento y son más resistentes que nunca a los tratamientos, lo que las convierte en un problema mundial de salud pública», señaló en su momento, la Dra. Hanan Balkhy, Subdirectora General de la OMS, Departamento de Resistencia a los Antimicrobianos (AMR).

A continuación el resumen del estudio publicado en Science Direct.
Informes de casos de micología médica by Semana on Scribd

