MUNDO
Niño fue al hospital por dolor abdominal y los médicos no podían creer lo que “cargaba” su estómago
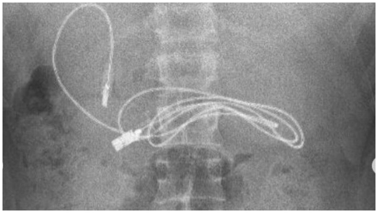
El doctor Yasar Dogan fue quien se encargó de la situación, por medio de sus redes sociales compartió las impresionantes imágenes.
Siga las noticias internacionales en Discover para conocer los hechos globales de hoy

Un niño de 15 años tuvo que ser trasladado a un hospital luego de que presentara un fuerte malestar estomacal, pero cuando se le tomaron las imágenes para establecer las causas de su dolor, los médicos quedaron sorprendidos.
Esta curiosa historia se presentó en Diyarbakir, Turquía, donde el preadolescente presentaba dolor y náuseas. Cuando los médicos vieron las imágenes internas de su torso, se percataron de que en su estómago estaba alojado un cargador USB.
El gastroenterólogo pediátrico Yasar Dogan fue quien se encargó de la situación. Además, por medio de sus redes sociales compartió las impresionantes imágenes que comprueban la situación vivida por su paciente.
El profesional de la salud tomó la decisión de realzar un procedimiento con endoscopio para poder a través de la boca y el conducto gástrico llegar hasta donde se encontraba alojado el cargador de celular. Cuando por fin se logró hacer contacto con el objeto, el doctor Dogan se percató de que también había una banda elástica para cabello junto al cargador.
“Obviamente, tuvimos dificultades para quitar el cable, ya que un extremo del cable había pasado al intestino delgado (...) Después de que el procedimiento concluyó con éxito, el paciente fue enviado a casa con buena salud”, explicó el doctor Yasar Dogan.
“El chico que tragó ese cable también merece un reconocimiento”; “Dios mío 😱😱😱”; “Es cuestión de curiosidad si el paciente está mentalmente estable o no, porque me hace pensar que un niño normal y un niño de 15 años harían esto”, fueron algunos comentarios en redes sociales.
Casi pierde un dedo tras hacerse las uñas
Una experiencia particular se llevó una joven cuando acudió a un salón de belleza para hacerse una manicura, práctica recurrente en cientos de mujeres, pero que, en su caso, no fue la más ‘grata’.
En TikTok, Beth Jozey aclaró que todo comenzó antes de que la pandemia de coronavirus llegara a Melbourne, Australia, en 2020. El cuidado de sus manos ha sido una prioridad desde que tenía unos 13 años, aunque reconoce que la onicofagia (manía por morderse las uñas) ha sido una constante en su vida por lo que suele utilizar uñas postizas.
Sin embargo, ante la incertidumbre de que pronto llegaría el confinamiento (por la covid) aprovechó que estaba en un centro comercial para hacerse la manicura. El local era desconocido antes para la joven, pues por más de una década tenía su sitio ‘predilecto’ con el que nunca tuvo problemas, pero en esa ocasión decidió cambiar.
@bethjozey Rambling about the time i almost lost my thumb 💀 #kmartnails #nailsalon #nailsalonproblems #aus
♬ original sound - Beth Jozey
“Me di cuenta que agarraban equipos de otras (...). Realmente no pensé nada de eso. No quiero ser esa persona tipo: ‘Oh, disculpe, ¿puedes lavar eso?’. No estábamos en la mentalidad de necesitar estar tan limpios debido a la covid”, añadió antes de contar que todo parecía estar bien, pagó y salió con su amiga del lugar.
Sin embargo, al otro día en la noche empezó a sentir dolor en las uñas, especialmente en su pulgar izquierdo, en el que notó que se estaba empezando a encarnar. La preocupación llegó cuando el dolor hizo que dejara caer una taza de café y su mamá le insistió para que la revisara un médico.
“Mi temperatura realmente era alta”, recordó la joven cuando le confirmaron que tenía una infección, pero la magnitud era de tal punto que la trasladaron a otro hospital donde se dispuso que debía someterse a una cirugía. Previo a la intervención le dijeron que el procedimiento sería rápido y sin mayores complicaciones.
El personal médico luego le dijo que si hubiera esperado más tiempo para solicitar atención, la infección se hubiese expandido hasta comprometer el hueso y llevado a una obstrucción que no dejara más salida que amputarle el dedo. Para ella, la moraleja de su experiencia es que se debe tener más precaución sobre el lugar (que se elija) y las condiciones de higiene empleadas.
@bethjozey Replying to @Kiara part 2 to the horror nail salon experience resulting in ONLY wearing kmart nails forever 💀 #kmart #kmartfinds #nails #nailsalonproblems
♬ original sound - Beth Jozey


