Caribe
Crónica de un milagro: médicos en Barranquilla operaron en el útero a un feto de 26 semanas, así fue la compleja cirugía
Un grupo de médicos en Barranquilla realizó una compleja cirugía a un feto de 26 semanas que traía una malformación. Crónica de un milagro.
Siga las noticias de SEMANA en Google Discover y manténgase informado

Yefri Pote Orellano todavía no ha nacido y ya está dando de qué hablar. Siendo un feto de tan solo 26 semanas, se expuso a una novedosa y revolucionaria cirugía intrauterina, por medio de un método que está llevándose la atención del desarrollo tecnológico y científico.
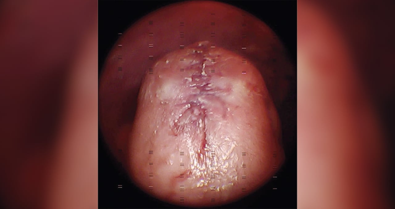
A las 16 semanas de gestación, Yida Marcela, la madre de Yefri, se realizó una ecografía de control prenatal y su bebé, aún en formación, fue diagnosticado con mielomeningocele. Se trata de un defecto congénito, en el que la médula espinal y la columna vertebral sufren una malformación.
En palabras más sencillas, la columna vertebral, que protege la médula espinal, no logra cerrarse adecuadamente y como consecuencia el feto comienza a desarrollar una protuberancia por la espalda, como una especie de bolsa.

En ese saco se albergan nervios que, al estar expuestos, podrían desencadenar afectaciones mayores. “Lo que la medicina tradicional hacía era esperar a que el niño naciera y operarlo, pero la ciencia ha demostrado que los nervios expuestos en un ambiente tóxico, como el líquido amniótico en el que nada el feto, hacen que esos nervios se atrofien y pierdan la capacidad de conducir impulsos nerviosos. Por eso, muchos niños que no se operan en el útero pueden nacer sin movimientos en las piernas”, explicó el neurocirujano William Ómar Contreras López.
Al enterarse de esa patología, la madre de Yefri se fue en lágrimas. “Me sentí muy mal. Lloré demasiado. No sabía que había solución para mi bebé”, dijo en conversación con SEMANA.
Pero nunca perdió la esperanza. En la Organización Clínica General del Norte-Zentria, en Barranquilla, le explicaron sobre la innovadora cirugía de fetoscopia intrauterina, que si bien no es una solución curativa al ciento por ciento, permite mejorar las condiciones de la criatura y garantizar una mayor calidad de vida.

La mujer aceptó, pero debía esperar a la semana 26 de embarazo porque si se anticipaba el procedimiento se aumentaba el riesgo de generar lesiones en el feto. Finalmente, un grupo de seis profesionales, especialistas en distintas áreas, se dieron cita en el centro hospitalario. El reto no era sencillo, los médicos tenían que operar al feto dentro del útero.
¿Cómo lo hicieron?
Para iniciar la cirugía de fetoscopia, a Yida Marcela le aplicaron la respectiva anestesia. Posteriormente, sacaron su útero de la cavidad abdominal y lo dejaron sobre la mesa quirúrgica.
Acto seguido, al útero le introdujeron tres aparatos, como si fuesen unas agujas. En una de esas punciones se instaló una cámara, y con las otras dos los médicos maniobraban la operación.
“Hacemos un procedimiento que es guiado a través de la ecografía y de la endoscopia. Es decir, vamos mirando en un ecógrafo y en una cámara de televisión muy pequeña, de 1,5 milímetros, que pasa por un pequeño agujero y nos permite mirar dentro del útero”, detalló el doctor perinatólogo, Miguel Parra, director de la Unidad de Cirugía Fetal de la Clínica General del Norte.

“En la cavidad uterina hay líquido amniótico. El líquido amniótico no nos va permitir ver adecuadamente. Entonces, ¿qué hacemos? Sacamos el líquido amniótico y lo reemplazamos por gas. Con el gas ya podemos ver al feto y procedemos a operarlo”, agregó Parra.
En el procedimiento intrauterino participaron los doctores perinatólogos Yesid Miranda y Miguel Parra; el anestesiólogo, Juan David Hernández; el ginecobstetra, Guido Parra; el cirujano pediatra, Cristóbal Abello y el médico neurocirujano William Contreras.






Hasta la fecha, a nivel mundial, se han efectuado un aproximado de 300 cirugías de fetoscopia intrauterina. Si aterrizamos las cifras, en Colombia se han registrado 21 casos, todos ellos en Barranquilla, en la clínica General del Norte.
“Equipo médico altamente entrenado, equipo tecnológico y un asegurador que responde para que se realice el procedimiento”, describió Jorge Tamayo, gerente general de la Organización Clínica General del Norte-Zentria. En Centroamérica y Latinoamérica, México, Brasil y Colombia son los tres países que se mantienen a la vanguardia con las exitosas cirugías de fetoscopia intrauterina.
A nivel de Centroamérica y Latinoamérica, México, Brasil y Colombia son los tres países que se mantienen a la vanguardia con las exitosas cirugías de fetoscopia intrauterina.


